正大量上市!女子一口气吃3个,痛到进医院,医生提醒:不能混吃、不能空腹吃

正大量上市!女子一口气吃3个,痛到进医院,医生提醒:不能混吃、不能空腹吃

发布时间:2025-11-17 07:29:17    来源:极目新闻

正值柿子大量上市的季节

很多人的餐桌上

少不了柿子的身影

很多喜欢吃柿子的人

更是开启狂炫模式

但是过量食用柿子

很有可能对身体健康造成影响

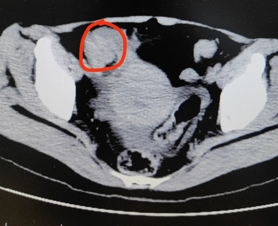
据杭州日报消息,一位患者冯女士(化名),在家一口气连吃3只柿子,晚餐又吃了2只大闸蟹。结果当天晚上,冯女士突然开始肚子痛,疼得全身冒冷汗,还不停呕吐。忍了两天后,冯女士终于忍无可忍,来到了医院。

医生高度怀疑,冯女士发生了绞窄性肠梗阻。最后手术从肠子里切出一堆“石头”,也就是俗称的“柿石症”,最大的直径有4公分!

原来,柿子中含有较多的鞣酸和果胶,与虾、蟹、鱼、牛奶等高蛋白食物同食,因蛋白与鞣酸相遇,容易发生反应产生沉淀物——鞣酸蛋白,当胃里的胃酸较多的情况下,鞣酸蛋白和食物中的果胶、纤维素等,把食物残渣粘合在一起,在胃内形成胃柿石,造成胃部不适。

除了不和高蛋白食物一起吃

食用柿子

还要遵循以下原则

↓↓↓

尽量选熟透的柿子

不要和这些食物混吃

不空腹吃

柿子应该怎么吃?医生说,尽量选择熟透的柿子,不要空腹吃,一次别吃得太多,去皮食用,问题不会太大。味道越涩的柿子,鞣酸含量越高,尝起来发涩的柿子建议别吃。

空腹食用柿子极易形成结石性团块,形成柿石症,出现腹痛、腹胀、恶心、食欲下降等症状,严重甚至会导致胃穿孔和出血。

不要和太酸的食物一起吃

柿子不宜同含果胶、鞣酸较多和酸性水果同食,如黑枣、酸枣、山楂、橘子、猕猴桃等,也不宜和醋一起食用,这样吃易出现胀气、结石的问题。

吃柿子山楂这些季节限定的食物时,避免跟鱼、虾、蟹、肉类、牛奶、鸡蛋等高蛋白食物同时吃。两者在胃酸作用下更容易凝固成块形成结石。特别是老人小孩、消化功能不好或有胃肠道疾病及相关手术史的人群,最好不食用。

贫血和糖尿病患者慎食

柿子含鞣酸,易与铁质结合,从而妨碍人体对食物中铁质的吸收,所以贫血患者应少吃。

柿子的含糖量比较高,而且多为单糖和双糖,如葡萄糖、蔗糖、果糖等,容易引起血糖升高。所以,不建议糖尿病患者吃柿子。

医生建议,若是吃了柿子山楂后感觉胃不舒服或是肚子痛,可以喝些苏打水或是吃些碳酸氢钠片。较小的胃结石,连续服用数天至数周后,胃结石会逐渐缩小直至消失,若是症状持续不缓解,建议及时就医。

此外,医生提醒:即便健康人群也不要贪多,每天1-2个足矣。

你喜欢吃柿子吗?

一天大概会吃多少个?

注意以上食用注意事项

不要超量了!

转给家人们,提醒~

来源:杭州日报、半岛都市报、长江日报

编辑:陈曦紫 肖苔

审核:邹丹雨

本文为“荆楚号”作者上传并发布,仅代表作者观点。荆楚网提供信息发布平台。
责任编辑: 周晓燕