本文原标题:《30岁女白领咳断三根肋骨,医生一查惊了:骨龄已60岁…只因把咖啡当水喝!》
近日
武汉一名30岁的女白领
在一阵剧烈的咳嗽后咳断了三根肋骨
医生一检查
这位女子的骨龄竟然已经60岁
医生仔细询问后
发现原来和这个日常习惯
有非常大的关系...
连续7年咖啡当水喝
30岁女白领骨龄达60岁
早晨一杯咖啡,下午茶一杯咖啡,逛街一杯咖啡...似乎一杯咖啡已经成为了白领人群的标配饮品了,确实咖啡香很让人提神舒适,但是过量的咖啡也是会让好处变成坏处。
最近一周,武汉市中心医院后湖院区胸外科接连收治两名咳断骨头的年轻病人,不良生活习惯是主要原因。30岁的女白领韩笑(化名)就是其中一位。

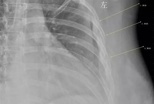
当拍片结果出来后,胸外科医生都不敢相信,肋骨竟然断了三根(第3、4、5肋骨骨折)。胸外科医生给她上了胸带固定,并给予了止咳镇痛的药物治疗。胸外科徐家行医生详细询问病史,在排除了其他因素后,考虑还是咳嗽引起的肋骨骨折。

原来,在外企上班的她,每日喝咖啡已经成为家常便饭,并且是一位浓度极高的黑咖啡爱好者,最多时一天会喝上10杯,并且这一习惯已经维持了7年多。
排除了病史后,骨密度检测证实了医生的推测,她的骨龄相当于60岁的老人,提前骨质疏松与她爱喝咖啡有很大关系。
医生表示,近年来骨质疏松的情况已经出现年轻化趋势,而这也和年轻人不健康的生活方式相关。
骨质疏松年轻化
与过量咖啡摄入有关
咖啡当水喝22岁小伙得骨质疏松
2017年西安一位22岁小伙在下楼时不慎摔倒,可没想到这一摔却摔断了左腿胫骨。
医生检查后告诉他,他的骨密度很低,属于压缩骨折。
原来小刘也是一位十足的“咖啡控”,他称自己“一天早中晚,基本都喝咖啡,很少喝白开水。”
常年喝碳酸饮料23岁小伙咳断肋骨
无独有偶,23岁的刘旭阳(化名)连续咳嗽一个月后,突然感到右胸疼痛,到医院拍片发现右侧第9肋骨骨折,骨密度显示他已经骨质疏松。

身高170cm的他,体重已达165斤。由于他体型偏胖,腹部脂肪较多,剧烈咳嗽时对于体腔压力的变化调节功能会减弱,与正常体型的人相比更容易导致肋骨骨折。
喝咖啡过量90后女孩患上老年病
此前,天津一位90后女孩不慎跌伤小腿,造成腓骨末端骨折,随后她前往区中心医院骨科就诊,不料连带查出骨质疏松,骨密度水平只相当于40岁妇女。

胸外科主任陈宝均介绍,以往接诊的咳嗽导致肋骨骨折的都是些年纪大的人、骨质疏松的人,像二三十岁的年轻人比较少见。但是近年来,骨质疏松有年轻化趋势,除了长期服用激素、垂体瘤等病理性因素外,年轻人如果生活不规律、爱宅不运动,长期过量饮用咖啡、碳酸饮料,酗酒、抽烟等不良生活习惯,也有可能出现骨质疏松。像咖啡里有咖啡因,碳酸饮料里含有磷酸成分,过量摄入对钙的吸收有影响。

除此之外,碳酸饮料、奶茶等饮品的过度饮用再加上不良的生活习惯,都可能会加快骨质疏松的年轻化。

中国营养学会营养师陈然表示,喝完咖啡六个小时之后还是睡不着的人属于咖啡因过敏体质,这种人就一定要去避免(摄入)咖啡因。
此外,2015年欧洲食品安全局率先对食品中咖啡因的健康风险进行了评估并给出了不同人群的摄入量参考标准,这也是目前世界卫生组织认可的咖啡因摄入量标准。



专家提醒,预防骨质疏松,平时应适当进行运动锻炼,增加骨密度,同时要多晒太阳,促进钙的吸收。
在饮食上可以多吃含钙、磷高的食品,如鱼、虾、虾皮、海带、牛奶、鸡蛋、豆类等,同时建议45岁以上的女性每年测一下骨密度。

来源:湖北日报、武汉晚报、看看新闻Knews
Copyright © 2001-2026 湖北荆楚网络科技股份有限公司 All Rights Reserved
互联网新闻信息许可证 4212025003 -
增值电信业务经营许可证 鄂B2-20231273 -
广播电视节目制作经营许可证(鄂)字第00011号
信息网络传播视听节目许可证 1706144 -
互联网出版许可证 (鄂)字3号 -
营业执照
鄂ICP备 13000573号-1
鄂公网安备 42010602000206号
版权为 荆楚网 www.cnhubei.com 所有 未经同意不得复制或镜像