长江日报大武汉客户端5月18日讯 骑车时不小心摔倒,没想到竟被车把手顶破了肝,幸亏医生发现及时,迅速手术避免了危及生命的悲剧发生。5月18日,长江日报记者在武汉市普仁医院见到了正在康复中的涛涛,目前孩子已经可以下床简单活动了。
5月4日傍晚,12岁的涛涛在小区骑自行车跟小伙伴追逐玩耍时,与另一个孩子的自行车撞在一起摔倒在地,涛涛的头部和眼睛都受伤了。家人赶紧将他送到附近的武汉市普仁医院。急诊科医生检查后发现,孩子的头部和眼睛都是轻度擦伤。处理完伤口后,家人正准备带他离开,涛涛右侧肚皮上的一处伤痕引起了医生的注意。

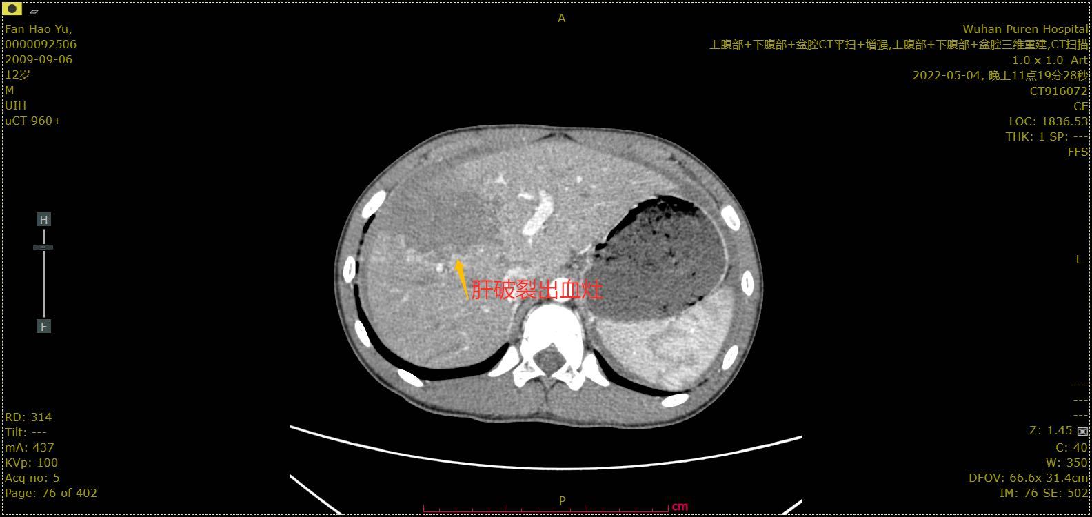
男孩腹部的擦伤引起了医生的警惕,及时发现了肝脏破裂。
追问下涛涛告诉医生,自行车撞到时,他的右上腹被对方自行车的车把手顶了一下,到现在还隐隐作痛。在医生的建议下,父母带着涛涛做了一个胸腹部的增强CT,结果让家属惊出一身冷汗:肝脏破裂,腹腔大量积血。

增强ct显示肝脏破裂出血灶。
如果肝动脉出血不能控制,孩子随时会因为失血性休克而危及生命。涛涛立即被转入肝胆胰外科。肝胆胰外科专家团队在局麻下为涛涛进行微导丝引导下微导管超选肝脏靶血管栓塞治疗,精准定位针对4处出血血管迅速一一栓塞。经过近两个小时的全力救治,涛涛有惊无险逃过一劫。经过一周左右的护肝、抗感染治疗,涛涛的各项指逐渐恢复正常。
大外科主任兼肝胆胰外科主任江帆提醒,肝脏和脾脏都是血供非常丰富的脏器,且容易受外力撞击而出现破裂的情况,摔倒时若车把手顶撞到胸腹部肝脏和脾脏所在部位,肝、脾很可能因为猛烈的撞击而破裂出血。相比肝脏,脾脏更加脆弱,一场小打小闹或是腰部不慎撞到桌角,导致脾脏破裂的患者在临床中屡见不鲜。孩子在骑单车时,建议家长最好在一旁照看,别让孩子速度过快,做好防护措施。特别是胸腹部受伤时,不管有无明显症状或是外伤,都要及时就医,切不可掉以轻心,要特别小心迟发性脾脏破裂的情况。(长江日报记者刘璇 通讯员尹茜 李林牧 李傲双)
Copyright © 2001-2026 湖北荆楚网络科技股份有限公司 All Rights Reserved
互联网新闻信息许可证 4212025003 -
增值电信业务经营许可证 鄂B2-20231273 -
广播电视节目制作经营许可证(鄂)字第00011号
信息网络传播视听节目许可证 1706144 -
互联网出版许可证 (鄂)字3号 -
营业执照
鄂ICP备 13000573号-1
鄂公网安备 42010602000206号
版权为 荆楚网 www.cnhubei.com 所有 未经同意不得复制或镜像