长江日报大武汉客户端5月30日讯(通讯员杨诗雨)女子突然出现间歇头晕近半年,双眼几近失明,检查发现颅内竟长了“矩形腺瘤”。专家提醒,对突发性头痛、头晕,视力急剧下降等症状,应及时到医院看诊。
59岁的肖女士近半年来频发间歇性头晕头痛症状,视力更是在4个月内急剧下降,右眼视力仅为0.3,左眼无任何光感呈“失明”状,严重影响日常生活。

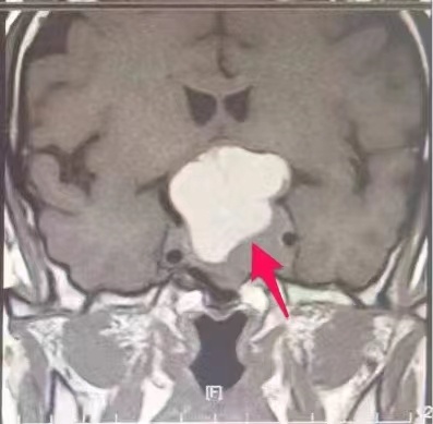
肖女士颅内4厘米的巨型腺瘤。
5月中旬,在家属陪伴下,肖女士到武汉市第五医院就诊。头部磁共振检查结果显示肖女士颅底鞍区存有4厘米的“葫芦”状巨型腺瘤,鞍膈受压上抬,瘤体压迫视神经导致患者视力锐减至失明。
“因瘤体巨大且发展过快,如不立即采取手术摘除,很可能会压迫脑干导致患者昏迷甚至死亡。”神经外科主任陆业平表示。
5月26日,医生经鼻腔在神经内镜下进行手术,为患者摘除巨大腺瘤。患者目前恢复良好,意识清晰,四肢活动自如,术后右眼视力明显提高,左眼视力正在恢复中。
专家介绍,垂体腺瘤根据体积分为垂体微腺瘤、大腺瘤和巨大腺瘤,瘤体体积大于4厘米属于巨大腺瘤,发病年龄多为30—50岁,女性多于男性,绝大多数为良性。垂体腺瘤体积较大时可产生占位症状,包括压迫视神经,引起视力下降、视野缺失,膨胀性生长推挤硬膜引起头痛等。对突发性头痛、头晕,视力急剧下降等症状,应考虑垂体腺瘤的可能,及时到医院进行头部CT及磁共振检查能尽早干预治疗。
Copyright © 2001-2026 湖北荆楚网络科技股份有限公司 All Rights Reserved
互联网新闻信息许可证 4212025003 -
增值电信业务经营许可证 鄂B2-20231273 -
广播电视节目制作经营许可证(鄂)字第00011号
信息网络传播视听节目许可证 1706144 -
互联网出版许可证 (鄂)字3号 -
营业执照
鄂ICP备 13000573号-1
鄂公网安备 42010602000206号
版权为 荆楚网 www.cnhubei.com 所有 未经同意不得复制或镜像