荆楚网(湖北日报网)讯(通讯员 陈晗)近日,孝感市第一人民医院介入血管科团队凭借精湛的介入技术与高效的多学科协作,成功为一名急性高危肺栓塞患者实施“肺动脉抽栓+局部溶栓药物灌注术+下腔静脉滤器置入术”,迅速开通堵塞的肺动脉,显著改善患者缺氧状态与血流动力学状态。该技术的成功应用标志着该院在危、急重症心血管疾病救治领域迈入新台阶,为区域肺栓塞患者提供了更高效、精准的治疗选择。
68岁的邹婆婆,因胸闷、胸痛1天后突发意识丧失,家人紧急将其送往孝感市第一人民医院就诊。神经内科、呼吸与危重症医学科团队接诊后,迅速为患者开展全面检查。检查结果显示,邹婆婆患有肺动脉栓塞,且伴有右心室扩大和下肢深静脉血栓,病情危急,随时可能危及生命,医院当即决定将其转入介入血管科进行紧急救治。
“肺栓塞是一种发病急、进展快的严重急症,患者随时可能因右心衰竭、休克甚至猝死而失去生命。” 介入血管科主任黄迁祥介绍,传统的抗凝或全身溶栓治疗不仅风险高、效果有限,还可能延误最佳救治时机,对于邹婆婆这类急性高危肺栓塞患者,精准微创的介入治疗是当前最有效的救治方式。
面对危急的病情,介入血管科团队在黄迁祥的带领下,对患者病情进行充分评估和综合研判后,最终制定了 “肺动脉抽栓 + 局部溶栓药物灌注 + 下腔静脉滤器置入术” 的微创介入治疗方案。
术前

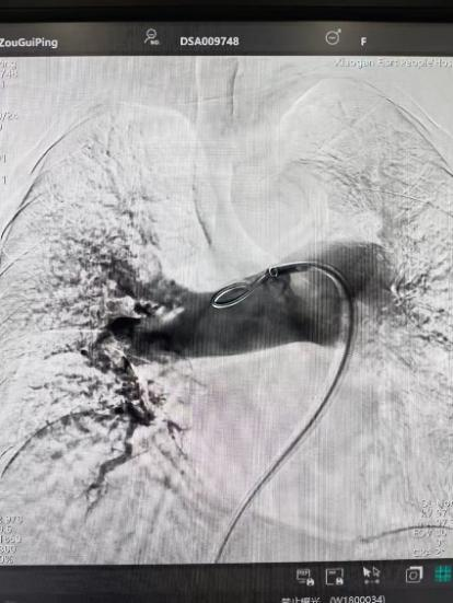
术后
手术在局部麻醉下进行,团队通过股静脉穿刺,将专用抽栓导管精准送达肺动脉栓塞部位,利用负压抽吸技术成功清除大量血栓;随后,在血栓局部精准灌注溶栓药物,进一步溶解残余血栓,恢复肺部血流灌注;同时,为防止下肢深静脉血栓再次脱落引发肺栓塞,团队为患者置入下腔静脉滤器,整个手术历时约1小时。术后,邹婆婆呼吸困难症状即刻得到缓解,血氧饱和度显著提升,右心负荷明显减轻,目前身体状况正在逐步恢复中。
“对于急性高危肺栓塞患者来说,时间就是生命。介入治疗能够快速、有效开通堵塞血管,显著降低患者死亡率和并发症风险。” 黄迁祥表示。
Copyright © 2001-2026 湖北荆楚网络科技股份有限公司 All Rights Reserved
互联网新闻信息许可证 4212025003 -
增值电信业务经营许可证 鄂B2-20231273 -
广播电视节目制作经营许可证(鄂)字第00011号
信息网络传播视听节目许可证 1706144 -
互联网出版许可证 (鄂)字3号 -
营业执照
鄂ICP备 13000573号-1
鄂公网安备 42010602000206号
版权为 荆楚网 www.cnhubei.com 所有 未经同意不得复制或镜像