“是你们让我的87岁老母亲重新站了起来,更让她在这里感受到家一般的温暖,这份恩情我们全家铭记于心!”近日,李奶奶(化名)在家人陪伴下,精神矍铄地走出潜江市中心医院。临行前,家属将一封情真意切的感谢信,郑重交到医护人员手中。
短短21天,这位因摔伤致右股骨颈、右桡骨远端骨折,且伴有肺部感染、高血压等多种基础疾病的老人,实现了从卧床不起到独立行走的奇迹。更难忘的是,在病房里,她度过了一个终生难忘的生日……

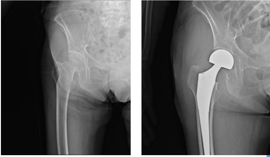
21天前,李奶奶在家中不慎摔倒,伤势严重。入院时,高龄、多发骨折、肺部感染、血氧饱和度偏低、高血压2级……多重风险交织,让治疗面临严峻考验。
“做不做手术?”这个问题,牵动着所有人的心。保守治疗意味着长期卧床,对高龄患者而言,深静脉血栓、压疮、肺部感染加重等并发症风险极高。完善各项检查后,骨外科Ⅱ副主任医师黄大社与家属充分沟通、反复研判,最终家属同意为李奶奶采取手术治疗。
医院立刻启动多学科协作(MDT)机制。骨科、麻醉科、心血管内科、呼吸与危重症医学科、神经内科等科室骨干迅速集结,围绕“保障安全、精准治疗、快速康复”的核心目标,进行了多轮深入评估与讨论,最终制定“右股骨头置换术+右前臂高分子夹板固定”方案,并配套周密的围手术期快速康复(ERAS)计划。在手术团队的精湛操作和严密配合下,手术顺利完成。

然而,手术成功只是第一步,术后的康复护理同样关键。考虑到李奶奶听力不佳,护士们与她沟通时,总会俯身靠近,放缓语速;知道老人爱整洁,护士们在个人清洁和环境整理上格外用心。每日的功能锻炼,从被动活动到主动发力,护理团队全程在旁鼓励、协助。“疼不疼?咱们不急,慢慢来。”这句话成了康复路上时常回响的温暖慰藉。
12月3日,责任护士在照护时偶然得知,当天正是李奶奶的87岁寿辰——而那天,也恰是奶奶手术伤口预定拆线的日子。
生日当天,在胡凌燕护士长的精心组织下,一场简单的温馨庆祝在病房悄然进行。医护代表们手捧鲜花来到床前,“奶奶,祝您生日快乐,健康长寿!”祝福声中,病房里漾起笑意。责任护士徐秀慧握着老人的手,轻声说道:“李奶奶,这是一种特别的缘分。我自己的奶奶没能陪她到87岁,今天能像孙女一样陪着您过生日,我打心底里感到高兴和幸福。”素来坚强的李奶奶,瞬间湿了眼眶,紧紧握回医护人员的手,哽咽着连声道谢。拆线成功与生日祝福交织,这个“双喜临门”的时刻,成了康复路上最明亮的一抹暖色。

在医院多学科团队的紧密协作与快速康复理念的贯穿下,李奶奶的恢复超出预期。短短两周,她从剧痛卧床,到在助行器辅助下从容行走,脸上重现光彩与笑容。她的康复之旅,不仅是医院在高龄复杂骨科手术领域技术实力的体现,更是精准治疗、快速康复与人文护理融合的生动实践。

一封感谢信,承载着信任与认可;一次成功救治,诠释着仁心与专业的分量。潜江市中心医院相关负责人表示,将继续秉持“以患者为中心”的服务理念,在守护生命的征程中,以技术为舟,以关怀为桨,托起每一个渴望重新站立的希望。(潜江市中心医院,通讯员:徐秀慧、胡凌燕、郑诗瑞)
Copyright © 2001-2026 湖北荆楚网络科技股份有限公司 All Rights Reserved
互联网新闻信息许可证 4212025003 -
增值电信业务经营许可证 鄂B2-20231273 -
广播电视节目制作经营许可证(鄂)字第00011号
信息网络传播视听节目许可证 1706144 -
互联网出版许可证 (鄂)字3号 -
营业执照
鄂ICP备 13000573号-1
鄂公网安备 42010602000206号
版权为 荆楚网 www.cnhubei.com 所有 未经同意不得复制或镜像