荆楚网(湖北日报网)讯(通讯员 李洋)一根25毫米的鱼骨,进食时不慎吞下,竟横卡于食管,尖端紧抵着人体最粗的主动脉,毫厘之差,便是生死一线。湖北航天医院耳鼻喉科凭借丰富经验最终化险为夷,成功取出异物。
2025年12月9日中午,程先生午餐时不慎误吞了一根鱼骨,胸骨后立即传来一阵持续疼痛。他尝试了休息、喝水、吞青菜、喝醋等常见方法,但疼痛丝毫没有缓解。
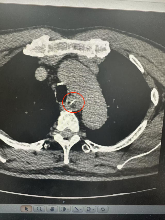
下午6时,程先生匆忙前往湖北航天医院急诊科就诊。医生检查发现其口咽部及咽喉部未见异物,立即安排胸部CT检查。

CT结果显示一根长约25毫米的鱼骨卡在食管中段,两端分别紧贴食管管壁外缘与主动脉弓内侧。主动脉是人体最粗大的动脉血管,鱼骨所处位置极为危险。
鱼骨嵌顿的位置让所有医生都捏了一把汗。主动脉弓是心脏向全身输送血液的主要通道,压力极高,一旦被刺破,患者将在极短时间内因大出血危及生命。
时间就是生命,湖北航天医院耳鼻喉科主任李付国立即联系放射科主任钟四安。
根据CT三维重建结果,鱼骨紧贴主动脉弓但未刺破主动脉及食管全层,尖端与主动脉切线垂直,呈“一”字型排列。
经过李付国全面评估,医疗团队决定进行食管镜食管异物取出术,并向患者及家属详细解释了手术的风险和必要性。
“鱼骨紧贴主动脉,手术犹如在刀尖上舞蹈,但我们有信心。”李付国医生的专业解释获得了患者及家属的知情同意和信任。
手术室内的气氛凝重而专注,主动脉弓旁的操作空间狭小如指尖,鱼刺的尖端锐利且紧贴主动脉弓,每一次器械触碰都暗藏风险。稍有不慎划破血管,汹涌的出血会瞬间危及生命,若强行牵拉,又可能撕裂食管黏膜,造成穿孔或感染。
李付国屏气凝神,凭借数十年积累的耳鼻喉科手术经验,开始了精细操作。他手持精细器械在毫米级的视野里小心翼翼探查、分离,目光紧锁内镜屏幕,精准避开血管与神经,一点点松解鱼刺与周围组织的粘连。
手术室里时间仿佛凝固,每一秒都牵动着所有人的神经。当这根25毫米的鱼刺被完整、平稳取出的瞬间,手术室内紧绷的气氛终于松缓。

鱼骨取出后,李付国密切监测患者的生命体征,警惕迟发性出血或感染的发生,患者在24小时内禁食,通过静脉补液维持营养,并逐步恢复流质饮食。
术后食道造影显示:全食管未见明显扩张,造影剂顺利通过,72小时观察期内,患者未出现出血、穿孔等并发症。
经过两天的补液对症治疗,程先生顺利康复出院。出院时他感慨道:“没想到一根小鱼骨会这么危险,感谢湖北航天医院的专业团队救了我一命。”
此次手术的成功,体现了湖北航天医院耳鼻喉科救治急危重症患者的实力,同时也提醒每一个人:进食时细嚼慢咽,莫让疏忽酿成险境。
Copyright © 2001-2026 湖北荆楚网络科技股份有限公司 All Rights Reserved
互联网新闻信息许可证 4212025003 -
增值电信业务经营许可证 鄂B2-20231273 -
广播电视节目制作经营许可证(鄂)字第00011号
信息网络传播视听节目许可证 1706144 -
互联网出版许可证 (鄂)字3号 -
营业执照
鄂ICP备 13000573号-1
鄂公网安备 42010602000206号
版权为 荆楚网 www.cnhubei.com 所有 未经同意不得复制或镜像