荆楚网(湖北日报网)讯(通讯员 何源 卓蕊 魏贤)近日,孝感市中心医院新生儿科成功救治一例因宫内感染导致急性呼吸窘迫综合征(ARDS)的危重新生儿,并在救治过程中成功实施了孝感市首例新生儿纤维支气管镜及肺泡灌洗技术。经过25个日夜的精心治疗与守护,目前,患儿已康复出院。

2025年11月30日,一通来自外院的紧急求助电话打破了平静。一名足月顺产新生儿出生后即出现呼吸急促、口唇青紫、呻吟不止,在当地医院对症处理后病情仍持续恶化,生命垂危。时间就是生命!医院新生儿科转运团队立即响应,与院前急救团队迅速赶往当地医院。

转运过程全程机械通气

NICU病房内高频通气
转运途中,团队与当地医院保持实时联动,动态掌握患儿病情变化,提前规划入院救治流程,历经百余公里,成功将患儿安全转运至医院新生儿重症监护室(NICU),为后续救治赢得了宝贵时机。
患儿入院后,NICU团队立即启动危重新生儿抢救预案。经快速检查,初步诊断为宫内感染所致的足月儿急性呼吸窘迫综合征(ARDS),该疾病极易合并肺高压、气胸、肺出血、呼吸衰竭等严重并发症,属于新生儿急危重症,救治难度极大。团队立即按新生儿ARDS诊疗规范进行气管内给予肺表面活性物质,循环支持,抗感染、持续机械通气、营养支持等对症治疗。然而,由于原发疾病严重,患儿经历7天机械通气后,病情出现反复,肺部影像学显示双肺实变明显,脱氧撤机困难。


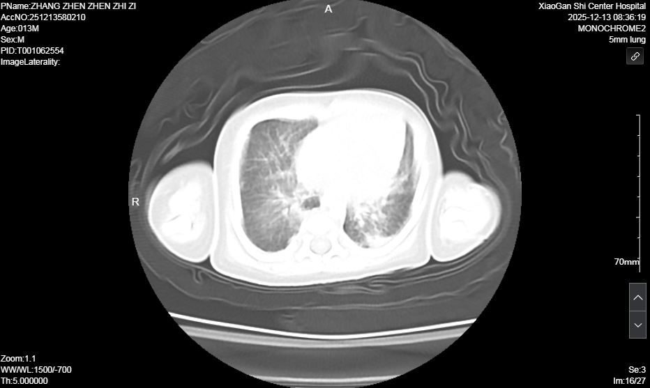
术前肺部超声及CT均提示双肺实变明显
面对挑战,新生儿科迅速启动多学科会诊(MDT),联合呼吸内科、儿童呼吸科、中心试验室等科室专家深入讨论。在充分与家长沟通并取得同意后,医疗团队成功为患儿实施了本市首例新生儿纤维支气管镜和肺泡灌洗术,同时取灌洗液进行 NGS检查、明确病原学诊断,团队快速调整个性化诊疗方案,精准调控参数、严密监测病情,稳步推进阶梯式撤机脱氧,全力攻克救治难关。
在全力救治的同时,科室始终贯彻“以患儿为中心”的照护理念。面对家属的焦虑与担忧,医护人员每日主动沟通病情,耐心疏导。考虑到患儿家庭异地就医的经济与生活压力,科室主动协助办理医保对接、周转手续,切实为家庭减负。护理团队更是24小时精心守护:不间断监测生命体征,定时翻身拍背、气道湿化护理,严防肺部感染反复;针对患儿初期吃奶耐受差的问题,采用少量多次喂养+鼻饲辅助的方式,循序渐进增加奶量,保障生长发育所需。

出院时已停氧

超声显示肺实变基本吸收
经过25个日夜的不懈努力与暖心陪伴,患儿各项指标恢复正常,达到出院标准。
此次危重新生儿的成功救治,标志着新生儿科在危重新生儿转运、重症呼吸支持、精准感染病因排查等方面的技术水平与多学科协作能力迈上新台阶。未来,孝感市中心医院将继续以精湛医术守护新生,以温情服务温暖家庭,为每一位危重新生宝宝撑起坚实的健康保护伞。
Copyright © 2001-2026 湖北荆楚网络科技股份有限公司 All Rights Reserved
互联网新闻信息许可证 4212025003 -
增值电信业务经营许可证 鄂B2-20231273 -
广播电视节目制作经营许可证(鄂)字第00011号
信息网络传播视听节目许可证 1706144 -
互联网出版许可证 (鄂)字3号 -
营业执照
鄂ICP备 13000573号-1
鄂公网安备 42010602000206号
版权为 荆楚网 www.cnhubei.com 所有 未经同意不得复制或镜像